Search Here
Custom Search
Mesothelioma Compensations
The owners of Asbestos related industries were quite aware of the health hazards of asbestos. However, they persisted with its use without issuing any warnings or taking steps for avoiding the health hazards. This is the reason why US courts have awarded huge sums as compensations to the Mesothelioma patients/families by the companies/persons responsible for causing asbestos exposure
Treatments for Mesothelioma
Because Mesothelioma is a newly found disease, many doctors may not be able to diagnose it. However, if you have a known history of asbestos exposure you should ask your doctor to look for the symptoms of this disease. The good news is that there is a treatment for mesothelioma in the early stages. Some treatment options for mesothelioma cancers are surgical removal of the effected tissues; chemotherapy and radiotherapy. However, the prognosis of later stage mesothelioma patients is bleak and the average survival time after diagnosis is 12-24 months.
Causes of Mesothelioma
Causes of Mesothelioma
Asbestos a mineral, used in different processes including building, shipyard and manufacturing in the days of World War II and for a few more decades, is the main cause of Mesothelioma. Researches have proved that those who have worked in asbestos related industries are mostly at risk of Mesothelioma. The minute asbestos particles go into human body through nose or mouth during inhalation, talking or any other reason. They reach lungs or abdomen and damage the lining, causing Mesothelioma. Due to its long latency period, mesothelioma can attack you even 15 – 40 years after the inhalation of asbestos particles. Even the family members of person working in asbestos related industries could be vulnerable to mesothelioma.
Asbestos a mineral, used in different processes including building, shipyard and manufacturing in the days of World War II and for a few more decades, is the main cause of Mesothelioma. Researches have proved that those who have worked in asbestos related industries are mostly at risk of Mesothelioma. The minute asbestos particles go into human body through nose or mouth during inhalation, talking or any other reason. They reach lungs or abdomen and damage the lining, causing Mesothelioma. Due to its long latency period, mesothelioma can attack you even 15 – 40 years after the inhalation of asbestos particles. Even the family members of person working in asbestos related industries could be vulnerable to mesothelioma.
Are you at risk of Mesothelioma?
If you are above 40 and have ever been exposed to asbestos continuously for more than 2 months in last 15-40 years, then you are at risk of Mesothelioma. It is a rare but deadly cancer of membrane cells, which covers some vital parts of our body like lungs, abdominal cavity and heart, called mesothelium. Like in other cancers, in mesothelioma the membrane cells divide ruthlessly causing abnormal growth, which ultimately damage the lining of vital organ such as lungs and abdomen.
What Mesothelioma Cancer is
Mesothelioma: What Mesothelioma Cancer is .!!!
Everybody have listened the word Mesothelioma, but few people know what this rare type of cancer really is. Through a series of articles you will know and learn rapidly about this cancer disease that affects either men or women at any age.
The cancer of the mesothelium appears when the cells of this membrane -that forms the lining of several internal organs within the different body cavities: the pleura in the thoracal cavity, the peritoneum in the abdominal cavity and the pericardium in the heart sac, become abnormal or 'malignant' and divide neither with control nor order.
The mesothelium is composed by two layers of cells, which produce a fluid that enable the expanding and contracting movements of organs, such as the heart beating and the corresponding lungs movements.
Although most Mesothelioma cases start in the pleura or peritoneum, the problem increases when these cancerous cells can damage nearby tissues and organs or even metastasize or spread to other parts of your body.
Despite Mesothelioma cancer rate has increased over the past 20 years, this disease is not as common as other types of cancer pathology. The number of new diagnosed cases in the United States rises up to 2,000 per year
Everybody have listened the word Mesothelioma, but few people know what this rare type of cancer really is. Through a series of articles you will know and learn rapidly about this cancer disease that affects either men or women at any age.
The cancer of the mesothelium appears when the cells of this membrane -that forms the lining of several internal organs within the different body cavities: the pleura in the thoracal cavity, the peritoneum in the abdominal cavity and the pericardium in the heart sac, become abnormal or 'malignant' and divide neither with control nor order.
The mesothelium is composed by two layers of cells, which produce a fluid that enable the expanding and contracting movements of organs, such as the heart beating and the corresponding lungs movements.
Although most Mesothelioma cases start in the pleura or peritoneum, the problem increases when these cancerous cells can damage nearby tissues and organs or even metastasize or spread to other parts of your body.
Despite Mesothelioma cancer rate has increased over the past 20 years, this disease is not as common as other types of cancer pathology. The number of new diagnosed cases in the United States rises up to 2,000 per year
Mesothelioma Treatments - Some Basic Facts
Mesothelioma Treatments - Some Basic Facts
Before we discuss about mesothelioma treatments it is important to have an understanding of what is mesothelioma. Mesothelioma is a rare cancer of the linings of lungs and abdominal area caused by exposure to asbestos fibers. It takes 30–40 years for this cancer to appear after the asbestos exposure. It is important to treat this cancer in the early stages otherwise it proves fatal. Various mesothelioma treatments are surgery, chemotherapy and radiation therapy.
There are two types of surgeries for mesothelioma treatments, Aggressive Surgery and Palliative Procedures. Before performing any surgery, it is necessary to check whether the heart and lungs are functioning properly. Of the two types, aggressive surgery, also known as Pneumonectomy, is complicated surgery performed on younger patients, who are good in health and can bear the surgery. Pneumonectomy involves the removal of extra pleural membrane. The main purpose of this mesothelioma treatment is to physically remove as much tumor as possible.
Palliative procedures of mesothelioma treatment are known as Pleurectomy. It is done in the early stages of cancer. This process of mesothelioma treatment involves surgical removal of pleura. However, the procedures are involved to lessen and control the symptoms rather than to cure the disease. This surgery reduces the pain caused by the tumor mass and helps in preventing the recurrence of pleural effusion. Complete removal of tumor is not possible with this procedure.
Chemotherapy is a mesothelioma treatment method that makes combined use of certain drugs for shrinking the tumor. Though some patients show only partial success to this method, some combinations of chemotherapy drugs have proved successful. Scientists have developed some new chemotherapy drugs for mesothelioma treatments.
Radiation therapy is the mesothelioma treatment method that makes use of nuclear radiations to kill the malignant cells and shrink the tumor. However, radiation therapy is an extremely difficult procedure. It can damage the healthy cells of heart, lungs, and other vital organs surrounded by radiation dosage. Dual therapy includes chemotherapy and radiation therapy along with the combination of surgery. This combination helps in killing any remaining tumor cells left after surgery and in relieving symptoms such as pain.
Mesothelioma treatments can be very expensive. However the patients suffering from mesothelioma and other asbestos based diseases can file lawsuits for recovering damages medical expenses, loss of income, lost earning capacity, pain and sufferings. The mesothelioma victims can take help of expert asbestos attorneys to locate the defendants- persons/companies responsible for causing asbestos exposure.
Before we discuss about mesothelioma treatments it is important to have an understanding of what is mesothelioma. Mesothelioma is a rare cancer of the linings of lungs and abdominal area caused by exposure to asbestos fibers. It takes 30–40 years for this cancer to appear after the asbestos exposure. It is important to treat this cancer in the early stages otherwise it proves fatal. Various mesothelioma treatments are surgery, chemotherapy and radiation therapy.
There are two types of surgeries for mesothelioma treatments, Aggressive Surgery and Palliative Procedures. Before performing any surgery, it is necessary to check whether the heart and lungs are functioning properly. Of the two types, aggressive surgery, also known as Pneumonectomy, is complicated surgery performed on younger patients, who are good in health and can bear the surgery. Pneumonectomy involves the removal of extra pleural membrane. The main purpose of this mesothelioma treatment is to physically remove as much tumor as possible.
Palliative procedures of mesothelioma treatment are known as Pleurectomy. It is done in the early stages of cancer. This process of mesothelioma treatment involves surgical removal of pleura. However, the procedures are involved to lessen and control the symptoms rather than to cure the disease. This surgery reduces the pain caused by the tumor mass and helps in preventing the recurrence of pleural effusion. Complete removal of tumor is not possible with this procedure.
Chemotherapy is a mesothelioma treatment method that makes combined use of certain drugs for shrinking the tumor. Though some patients show only partial success to this method, some combinations of chemotherapy drugs have proved successful. Scientists have developed some new chemotherapy drugs for mesothelioma treatments.
Radiation therapy is the mesothelioma treatment method that makes use of nuclear radiations to kill the malignant cells and shrink the tumor. However, radiation therapy is an extremely difficult procedure. It can damage the healthy cells of heart, lungs, and other vital organs surrounded by radiation dosage. Dual therapy includes chemotherapy and radiation therapy along with the combination of surgery. This combination helps in killing any remaining tumor cells left after surgery and in relieving symptoms such as pain.
Mesothelioma treatments can be very expensive. However the patients suffering from mesothelioma and other asbestos based diseases can file lawsuits for recovering damages medical expenses, loss of income, lost earning capacity, pain and sufferings. The mesothelioma victims can take help of expert asbestos attorneys to locate the defendants- persons/companies responsible for causing asbestos exposure.
Treatments for Mesothelioma Cancer
Mesothelioma: Treatments for Mesothelioma Cancer
Mesothelioma cancer is currently treated through three treatments, depending on the cancer location, the disease stage, and the patient's general health and age. These treatments are surgery, chemotherapy and radiation therapy, which sometimes are combined to fight the disease in so far as possible.
In a surgery, one of the most common treatments for mesothelioma, the doctor removes part of the lining of the abdomen or the chest and some tissue around it. In a pneumonectomy, the doctor may also remove one lung when the patient has pleural mesothelioma or cancer of the pleura. In other surgical procedure, the doctor may also remove part of the diaphragm, the muscle below the lungs that helps with breathing.
Through these procedures, the medical specialist shall try to excise tumourous tissue arising from this cancer disease. As these operations will reduce the patient's respiratory capacity, the surgeon will evaluate the patient's ability to function after a lung tissue removal, before performing a pneumonectomy.
Another method to fight Mesothelioma is chemotherapy or the use of anticancer drugs to kill cancer cells throughout the body. These drugs are given to the patient by an intravenous procedure, an injection into a vein. Currently, experts are studying the effectiveness of intracavitary chemotherapy or the possibility of giving chemotherapy straight to the chest or abdomen.
Radiotherapy or radiation therapy is the use of high-energy rays to destroy malignant cells and shrink tumors. It is important to know that this medical procedure attacks the cancer cells only in the treated area. There are two ways of giving this therapy. One, external radiation, in which the radiation comes from a machine, and other, internal radiation, where the cancer cells are found after putting materials that produce radiation into the affected area.
Doctor's way to relieve patient's pain is to use a needle or a thin tube to drain fluid that has built up in the abdominal or chest cavities through a procedure called thoracentesis, when it is from the chest, and paracentesis, when the removal is from the abdomen. The specialists may also give the drugs through a tube in the chest to prevent the accumulation of more liquid
Mesothelioma cancer is currently treated through three treatments, depending on the cancer location, the disease stage, and the patient's general health and age. These treatments are surgery, chemotherapy and radiation therapy, which sometimes are combined to fight the disease in so far as possible.
In a surgery, one of the most common treatments for mesothelioma, the doctor removes part of the lining of the abdomen or the chest and some tissue around it. In a pneumonectomy, the doctor may also remove one lung when the patient has pleural mesothelioma or cancer of the pleura. In other surgical procedure, the doctor may also remove part of the diaphragm, the muscle below the lungs that helps with breathing.
Through these procedures, the medical specialist shall try to excise tumourous tissue arising from this cancer disease. As these operations will reduce the patient's respiratory capacity, the surgeon will evaluate the patient's ability to function after a lung tissue removal, before performing a pneumonectomy.
Another method to fight Mesothelioma is chemotherapy or the use of anticancer drugs to kill cancer cells throughout the body. These drugs are given to the patient by an intravenous procedure, an injection into a vein. Currently, experts are studying the effectiveness of intracavitary chemotherapy or the possibility of giving chemotherapy straight to the chest or abdomen.
Radiotherapy or radiation therapy is the use of high-energy rays to destroy malignant cells and shrink tumors. It is important to know that this medical procedure attacks the cancer cells only in the treated area. There are two ways of giving this therapy. One, external radiation, in which the radiation comes from a machine, and other, internal radiation, where the cancer cells are found after putting materials that produce radiation into the affected area.
Doctor's way to relieve patient's pain is to use a needle or a thin tube to drain fluid that has built up in the abdominal or chest cavities through a procedure called thoracentesis, when it is from the chest, and paracentesis, when the removal is from the abdomen. The specialists may also give the drugs through a tube in the chest to prevent the accumulation of more liquid
Your Basic Information About Mesothelioma
Mesothelioma – Your Basic Information
Mesothelioma is a form of cancer that is becoming more and more common. The most common cause of this cancer is exposure to asbestos. When constantly exposed with insufficient protection, asbestos dust and fibres affect the mesothelial cells which make up the mesothelium. The mesothelium is the outer lining that protects some of the body’s most vital organs such as the heart and lungs. The mesothelial cells become abnormal after lengthy periods of constant exposure to asbestos causing an array of problems.
Due to the latency period and symptoms of this cancer, mesothelioma is very difficult to diagnose. Mesothelioma takes decades to mature and develop fully and this is why many elderly men who were exposed to asbestos thirty years before are just discovering they have the cancer. A lot of these men are currently lodging multi-million dollar lawsuits against the companies that exposed them to the dangers of asbestos without sufficient protection.
The organs that are affected most by mesothelioma are the lungs. The most common type of mesothelioma which is called pleural mesothelioma affects the lining of the lungs and can cause symptoms such as coughing, breathing and swallowing difficulties, shortness of breath and fever. Another area that can be affected by mesothelioma is the abdomen. This is less common and this is known as peritoneal mesothelioma. Symptoms of peritoneal mesothelioma include nausea and vomiting, weight loss, fever, bowel obstruction, loss of appetite and general pain in the stomach area. The last and least common type of mesothelioma is known as pericardial mesothelioma and it affects the heart and the tissue surrounding it. Symptoms of this form of the cancer include palpitations, breathing difficulties and persistent coughing. Generally, the symptoms of mesothelioma are typical of many other diseases and this makes it very difficult to diagnose.
There are treatments for mesothelioma although these are usually unsuccessful. If the cancer is treated aggressively in its early stages then there is a good chance of a patient surviving. However, due to the difficulty to diagnose mesothelioma, the cancer is not normally found until it is too late. Treatments that are used for mesothelioma include surgery, radiation therapy, palliative therapy and chemotherapy. Research for additional treatment of mesothelioma is being done at various cancer centers all over the United States as well as by pharmaceutical companies.
Mesothelioma is a form of cancer that is becoming more and more common. The most common cause of this cancer is exposure to asbestos. When constantly exposed with insufficient protection, asbestos dust and fibres affect the mesothelial cells which make up the mesothelium. The mesothelium is the outer lining that protects some of the body’s most vital organs such as the heart and lungs. The mesothelial cells become abnormal after lengthy periods of constant exposure to asbestos causing an array of problems.
Due to the latency period and symptoms of this cancer, mesothelioma is very difficult to diagnose. Mesothelioma takes decades to mature and develop fully and this is why many elderly men who were exposed to asbestos thirty years before are just discovering they have the cancer. A lot of these men are currently lodging multi-million dollar lawsuits against the companies that exposed them to the dangers of asbestos without sufficient protection.
The organs that are affected most by mesothelioma are the lungs. The most common type of mesothelioma which is called pleural mesothelioma affects the lining of the lungs and can cause symptoms such as coughing, breathing and swallowing difficulties, shortness of breath and fever. Another area that can be affected by mesothelioma is the abdomen. This is less common and this is known as peritoneal mesothelioma. Symptoms of peritoneal mesothelioma include nausea and vomiting, weight loss, fever, bowel obstruction, loss of appetite and general pain in the stomach area. The last and least common type of mesothelioma is known as pericardial mesothelioma and it affects the heart and the tissue surrounding it. Symptoms of this form of the cancer include palpitations, breathing difficulties and persistent coughing. Generally, the symptoms of mesothelioma are typical of many other diseases and this makes it very difficult to diagnose.
There are treatments for mesothelioma although these are usually unsuccessful. If the cancer is treated aggressively in its early stages then there is a good chance of a patient surviving. However, due to the difficulty to diagnose mesothelioma, the cancer is not normally found until it is too late. Treatments that are used for mesothelioma include surgery, radiation therapy, palliative therapy and chemotherapy. Research for additional treatment of mesothelioma is being done at various cancer centers all over the United States as well as by pharmaceutical companies.
Know About Lung Cancer
Know About Lung Cancer :--
Cancer is a disease in which certain body cells don’t function right, divide very fast and produce too much tissue that forms a tumor. A leading cause of cancer deaths in both men and women is probably lung cancer. This is the number one cause of cancer deaths surpassing breast cancer as the leading cause of deaths in women. Cancers that begin in the lungs are divided into two major types, the non-small cell lung cancer and small cell lung cancer depending on how the cells look under a microscope.
Cigarette smoking is known to be a cause of lung cancer. The risk of developing the disease increases with the number of cigarettes smoked particularly if the person starts to smoke at a young age. The person’s risk of developing lung cancer may be reduced slightly if you smoke filtered and low tar cigarettes, but it is still far greater than that of a non-smoker. Lung cancer has always been more common in men, particularly those over the age of 40, as more men used to smoke than women. Considerably, there are a growing number of women having lung cancer since women have started smoking. About 90% of all lung cancer deaths among women are from smoking. The risk of lung cancer goes down quite quickly if the person stops smoking and after about fifteen years, the person’s chances of developing the disease are similar to that of a non-smoker. Passive smoking or the breathing in other people’s cigarette smoke, slightly increases the risk for lung disease and lung cancer, although the risk is still much less that if you smoke yourself.
Usually, the symptoms of lung cancer do not appear until the disease is in an advanced stage. Some are diagnosed early because they are found as a result of tests for other medical conditions. Screening examinations are done to detect a disease in people without symptoms of the disease. And since lung cancer usually spreads beyond the lungs before causing any symptoms, an effective screening program to detect the cancer early could save many lives. So far there is not screening test that has been shown to prevent the ill person from dying of the cancer. It has been concluded that the tests could not find many lung cancers early enough to improve a person’s chances for a cure. Because of this, lung cancer screening is not a routine practice for the general public or even for people at increased risk like smokers.
Symptoms of lung cancer could be continuing cough or change in a long-standing cough; a chest infection that does not get better; increasing breathlessness; coughing up blood-stained phlegm; a dull ache or a sharp pain when coughing or taking a deep breath; and loss of appetite and loss of weight. If you think you are having any of these above stated symptoms, then it is important to have your condition checked by your doctor even if you know that any of these symptoms may be caused by illness other than cancer.
Treatment for lung cancer could be through surgery, radiotherapy and chemotherapy which may be used separately or together depending on what your physician requires you to undergo with. Basically, the doctor will plan your treatment, taking into account your general health condition, the type of lung cancer you have and the size of the tumor as well as its stage. There are differences in the treatment for different people depending on their needs. You should not be afraid to ask your doctor and it often helps making a lot of queries about the disease and your condition from your doctor.
Cancer is a disease in which certain body cells don’t function right, divide very fast and produce too much tissue that forms a tumor. A leading cause of cancer deaths in both men and women is probably lung cancer. This is the number one cause of cancer deaths surpassing breast cancer as the leading cause of deaths in women. Cancers that begin in the lungs are divided into two major types, the non-small cell lung cancer and small cell lung cancer depending on how the cells look under a microscope.
Cigarette smoking is known to be a cause of lung cancer. The risk of developing the disease increases with the number of cigarettes smoked particularly if the person starts to smoke at a young age. The person’s risk of developing lung cancer may be reduced slightly if you smoke filtered and low tar cigarettes, but it is still far greater than that of a non-smoker. Lung cancer has always been more common in men, particularly those over the age of 40, as more men used to smoke than women. Considerably, there are a growing number of women having lung cancer since women have started smoking. About 90% of all lung cancer deaths among women are from smoking. The risk of lung cancer goes down quite quickly if the person stops smoking and after about fifteen years, the person’s chances of developing the disease are similar to that of a non-smoker. Passive smoking or the breathing in other people’s cigarette smoke, slightly increases the risk for lung disease and lung cancer, although the risk is still much less that if you smoke yourself.
Usually, the symptoms of lung cancer do not appear until the disease is in an advanced stage. Some are diagnosed early because they are found as a result of tests for other medical conditions. Screening examinations are done to detect a disease in people without symptoms of the disease. And since lung cancer usually spreads beyond the lungs before causing any symptoms, an effective screening program to detect the cancer early could save many lives. So far there is not screening test that has been shown to prevent the ill person from dying of the cancer. It has been concluded that the tests could not find many lung cancers early enough to improve a person’s chances for a cure. Because of this, lung cancer screening is not a routine practice for the general public or even for people at increased risk like smokers.
Symptoms of lung cancer could be continuing cough or change in a long-standing cough; a chest infection that does not get better; increasing breathlessness; coughing up blood-stained phlegm; a dull ache or a sharp pain when coughing or taking a deep breath; and loss of appetite and loss of weight. If you think you are having any of these above stated symptoms, then it is important to have your condition checked by your doctor even if you know that any of these symptoms may be caused by illness other than cancer.
Treatment for lung cancer could be through surgery, radiotherapy and chemotherapy which may be used separately or together depending on what your physician requires you to undergo with. Basically, the doctor will plan your treatment, taking into account your general health condition, the type of lung cancer you have and the size of the tumor as well as its stage. There are differences in the treatment for different people depending on their needs. You should not be afraid to ask your doctor and it often helps making a lot of queries about the disease and your condition from your doctor.
Three main symptoms to lung cancer
Three main symptoms to lung cancer :-
The main three symptoms to lung cancer that should not be ignored are shortness of breath, pain when breathing or coughing, and existence of a persistent cough, especially if it is accompanied by expectoration of sputum streaked with blood. Additionally, loss of appetite, fatigue, unusual losses of weight are three symptoms, which are indicative of lung cancer.
Because of the non-specific nature of symptoms of Mesothelioma, Mesothelioma tests are imperative to rule out incidence of the disease when lung cancer symptoms show up. Early detection of Mesothelioma cancer substantiated by clear information of patient’s exposure to asbestos can help define the course of treatment.
Early Detection Of Mesothelioma Cancer In Long Term Health Prognosis
The length of time between asbestos exposure and onset of lung cancer symptoms can be between 15-50 years. Therefore a complete medical history and information of possible asbestos exposure are critical in identifying patients who are prone for developing Mesothelioma lung cancer.
During physical tests for Mesothelioma lung cancer, the doctor may check breath sounds to see whether there is any indication of fluid in the chest cavity. A variety of diagnostic procedures also help to determine whether a patient has Mesothelioma lung cancer.
Results from imaging scans, tissue biopsies, pulmonary function tests, and other diagnostic techniques, combined with the findings from a careful medical history help to define the course of treatment in Mesothelioma lung cancer.
There are less common but more uncomfortable symptoms of lung cancer, which are usually associated with advanced stages of the disease. Such lung cancer or Mesothelioma patients may exhibit symptoms like a hoarse voice, difficulty swallowing, swelling of the face or in the neck, pain or discomfort under the ribs, and shortness of breath caused by fluid around the lungs.
If you suspect that you or any of your family members have lung cancer symptoms– DO NOT DELAY – consult your physician right away.
The main three symptoms to lung cancer that should not be ignored are shortness of breath, pain when breathing or coughing, and existence of a persistent cough, especially if it is accompanied by expectoration of sputum streaked with blood. Additionally, loss of appetite, fatigue, unusual losses of weight are three symptoms, which are indicative of lung cancer.
Because of the non-specific nature of symptoms of Mesothelioma, Mesothelioma tests are imperative to rule out incidence of the disease when lung cancer symptoms show up. Early detection of Mesothelioma cancer substantiated by clear information of patient’s exposure to asbestos can help define the course of treatment.
Early Detection Of Mesothelioma Cancer In Long Term Health Prognosis
The length of time between asbestos exposure and onset of lung cancer symptoms can be between 15-50 years. Therefore a complete medical history and information of possible asbestos exposure are critical in identifying patients who are prone for developing Mesothelioma lung cancer.
During physical tests for Mesothelioma lung cancer, the doctor may check breath sounds to see whether there is any indication of fluid in the chest cavity. A variety of diagnostic procedures also help to determine whether a patient has Mesothelioma lung cancer.
Results from imaging scans, tissue biopsies, pulmonary function tests, and other diagnostic techniques, combined with the findings from a careful medical history help to define the course of treatment in Mesothelioma lung cancer.
There are less common but more uncomfortable symptoms of lung cancer, which are usually associated with advanced stages of the disease. Such lung cancer or Mesothelioma patients may exhibit symptoms like a hoarse voice, difficulty swallowing, swelling of the face or in the neck, pain or discomfort under the ribs, and shortness of breath caused by fluid around the lungs.
If you suspect that you or any of your family members have lung cancer symptoms– DO NOT DELAY – consult your physician right away.
Four Stages of Mesothelioma Cancer
Four Stages of Mesothelioma Cancer
One rare form of cancer is called Mesothelioma, a
malignant tumor in the mesothelial tissues of the lungs
and the abdomen, arising from the inhalation of asbestos.
Its rarity is one of the reasons why a lot of people are
not aware of this kind of fatal disease. In fact, many
people die of Mesothelioma undiagnosed. Although there is
now a growing awareness of the hazards of asbestos to
health, still many have not heard of Mesothelioma and
thus, have not understood its nature, cause, signs and
treatment. Even some physicians find it hard to detect
Mesothelioma because its symptoms are akin to other
diseases like lung cancer and pneumonia. Furthermore, it
takes decades for a patient who was exposed to asbestos to
develop Mesothelioma — fifty years, at most.
Being unaware of Mesothelioma poses higher risks since it
deters diagnosis and treatment. A person undergoing
treatment must know the different stages of the cancer or
the extent of the disease. Chances of recovering from
Mesothelioma and the kind of treatment depend on the stage
of the illness. There are basically two staging systems
used for Pleural Mesothelioma (lungs): TNM system and
Brighan system. These staging systems are also used in
other kinds of cancers; however, the first is commonly
used. There is no established method in determining the
stage of the Peritoneal Mesothelioma cancer (abdominal) so
the TNM system is used.
There are three variables in the TNM system: tumor, lymph
nodes and metastasis. In the earliest stage of
Mesothelioma, stage I, the malignant Mesothelioma cells
start to grow and multiply only one layer of the pleura.
The pleura is the membrane that encloses the lungs and
lines the wall of the chest cavity. However, there are
some instances wherein the pericardium (membrane that
covers the heart) and diaphragm cover are already
affected. In this case, the cancer patient is still in
stage I Mesothelioma.
In the second stage, the two layers of the pleura are
already affected by Mesothelioma. Take note, however, that
in this stage, only one side of the body is affected.
Normally, the pleura produces only small amount of
lubricating fluid that allows easy expanding and
contracting of the lungs. The excess fluid is absorbed by
the blood and the lymph vessels so there’s a balance
between the amount of fluid produced and removed. During
the second stage Mesothelioma, fluid starts to build up
between the membrane of the lungs and the membrane of the
chest wall, resulting to pleural effusion. The increase in
the volume of fluid produced causes shortness of breath
and chest pain. Other Mesothelioma cancer patients
experience dry and persistent cough. Diagnosis of the
pleural effusion is achieved through a chest x-ray.
Stage III Mesothelioma means that the malignant cells have
already spread to the chest wall, esophagus and the lymph
nodes on one part of the chest. The patient may suffer
severe pain near the parts affected. When not treated
immediately or when the Mesothelioma patient doesn’t
respond well to medication, the cancer may advance to the
fourth stage. The fourth stage Mesothelioma is formidable
since at this stage the Mesothelioma cells have penetrated
into the bloodstream and other organs in the body like the
liver, the bones and the brain. The lymph nodes on the
other side of the chest may also be affected by
Mesothelioma in stage IV.
Brighan staging system, on the other hand, determines
whether the Mesothelioma can be surgically removed or not
and whether the lymph nodes are affected or not. In stage
I Mesothelioma, the lymph nodes are not yet affected and
the patient can still recover through surgery. In stage
II, surgery can still be executed but some lymph nodes
have already been infiltrated by the cancer cells. In
stage III, the heart and chest wall are already affected;
thus, surgery is no longer advisable. The lymph nodes in
this stage, however, may or may not be affected. In the
final stage, stage IV Mesothelioma, cancer cells have
already gone to the bloodstream and other parts of the
body like the heart, brain, bone and liver. In most cases,
a patient who has reached stage IV Mesothelioma only has
four to twenty-four months to live.
One rare form of cancer is called Mesothelioma, a
malignant tumor in the mesothelial tissues of the lungs
and the abdomen, arising from the inhalation of asbestos.
Its rarity is one of the reasons why a lot of people are
not aware of this kind of fatal disease. In fact, many
people die of Mesothelioma undiagnosed. Although there is
now a growing awareness of the hazards of asbestos to
health, still many have not heard of Mesothelioma and
thus, have not understood its nature, cause, signs and
treatment. Even some physicians find it hard to detect
Mesothelioma because its symptoms are akin to other
diseases like lung cancer and pneumonia. Furthermore, it
takes decades for a patient who was exposed to asbestos to
develop Mesothelioma — fifty years, at most.
Being unaware of Mesothelioma poses higher risks since it
deters diagnosis and treatment. A person undergoing
treatment must know the different stages of the cancer or
the extent of the disease. Chances of recovering from
Mesothelioma and the kind of treatment depend on the stage
of the illness. There are basically two staging systems
used for Pleural Mesothelioma (lungs): TNM system and
Brighan system. These staging systems are also used in
other kinds of cancers; however, the first is commonly
used. There is no established method in determining the
stage of the Peritoneal Mesothelioma cancer (abdominal) so
the TNM system is used.
There are three variables in the TNM system: tumor, lymph
nodes and metastasis. In the earliest stage of
Mesothelioma, stage I, the malignant Mesothelioma cells
start to grow and multiply only one layer of the pleura.
The pleura is the membrane that encloses the lungs and
lines the wall of the chest cavity. However, there are
some instances wherein the pericardium (membrane that
covers the heart) and diaphragm cover are already
affected. In this case, the cancer patient is still in
stage I Mesothelioma.
In the second stage, the two layers of the pleura are
already affected by Mesothelioma. Take note, however, that
in this stage, only one side of the body is affected.
Normally, the pleura produces only small amount of
lubricating fluid that allows easy expanding and
contracting of the lungs. The excess fluid is absorbed by
the blood and the lymph vessels so there’s a balance
between the amount of fluid produced and removed. During
the second stage Mesothelioma, fluid starts to build up
between the membrane of the lungs and the membrane of the
chest wall, resulting to pleural effusion. The increase in
the volume of fluid produced causes shortness of breath
and chest pain. Other Mesothelioma cancer patients
experience dry and persistent cough. Diagnosis of the
pleural effusion is achieved through a chest x-ray.
Stage III Mesothelioma means that the malignant cells have
already spread to the chest wall, esophagus and the lymph
nodes on one part of the chest. The patient may suffer
severe pain near the parts affected. When not treated
immediately or when the Mesothelioma patient doesn’t
respond well to medication, the cancer may advance to the
fourth stage. The fourth stage Mesothelioma is formidable
since at this stage the Mesothelioma cells have penetrated
into the bloodstream and other organs in the body like the
liver, the bones and the brain. The lymph nodes on the
other side of the chest may also be affected by
Mesothelioma in stage IV.
Brighan staging system, on the other hand, determines
whether the Mesothelioma can be surgically removed or not
and whether the lymph nodes are affected or not. In stage
I Mesothelioma, the lymph nodes are not yet affected and
the patient can still recover through surgery. In stage
II, surgery can still be executed but some lymph nodes
have already been infiltrated by the cancer cells. In
stage III, the heart and chest wall are already affected;
thus, surgery is no longer advisable. The lymph nodes in
this stage, however, may or may not be affected. In the
final stage, stage IV Mesothelioma, cancer cells have
already gone to the bloodstream and other parts of the
body like the heart, brain, bone and liver. In most cases,
a patient who has reached stage IV Mesothelioma only has
four to twenty-four months to live.
ACTINIC KERATOSES AND THEIR SYMPTOMS
WHAT ARE ACTINIC KERATOSES AND WHAT ARE THEIR SYMPTOMS?
Although most people love the warmth and light of the sun, too much
sun exposure can significantly damage human skin. The sun's heat dries
out areas of unprotected skin and to deplete the skin's supply of
natural lubricating oils. In addition, the sun's ultraviolet (UV)
radiation can cause burning and long-term changes in the skin's
structure.
Actinic keratosis is a skin condition characterized by rough, scaly
patches on the skin of our face, lips, ears, back of your hands,
forearms, scalp and neck. It's caused by frequent or intense exposure
to ultraviolet (UV) rays, typically from the sun. Many doctors
consider actinic keratosis to be precancerous because it may develop
into skin cancer. also known as solar keratoses, grow slowly and
usually cause no signs or symptoms other than patches or small spots
on the skin. These lesions take years to develop, usually first
appearing in older adults. Left untreated, about one in 10 cases of
actinic keratoses develop into squamous cell carcinoma, a serious form
of skin cancer. It does not also go away unless it is frozen,
(chemically)naturally treated with Curaderm, or removed by a doctor.
About one in every 400 patches of actinic keratosis eventually changes
into a squamous cell cancer of the skin.
The type of treatment that will work best for you depends on many
factors, including the number, size and location of
your actinic keratoses.
There is no immediate treatment, but the doctor regularly monitors the
area of abnormal skin to see if it develops an
appearance more worrisome for cancer.
Also, because an actinic keratosis is a sign that you are at increased
risk of skin cancer, your doctor will schedule regular follow-up skin
examinations to check periodically for new areas of abnormal skin.
Prevent reducing your risk of actinic keratosis by minimizing your sun
exposure and protecting your skin from UV rays.
SIGNS AND SYMPTONS
The signs and symptoms of actinic keratosis include:
Flat to slightly raised, scaly patches on the top layer of your skin
Lesions on your skin ranging in color from pink to red to brown,
orflesh-colored.
Patches or lesions caused by actinic keratosis usually are 1 inch or
less in diameter and primarily are found on areas exposed to the sun,
including your face, lips, ears, back of your hands, forearms, scalp
and neck.
There may be a single lesion or more. Later, lesions can develop a
hard, wart-like surface.
Symptoms may begin as soon as one hour after exposure and typically
reach their peak after one day.
Sun-damaged skin shows the following symptoms:
The skin appears dry, flaky and slightly more wrinkled than skin on
other parts of your body that have not been exposed to the sun. Dry
skin is also one of the most common causes of itching.
An actinic keratosis appears as a persistent patch of scaly (peeling)
skin that may have a jagged or even sharp surface
and that has a pink, yellow, red or brownish tint. At first, an
actinic keratosis is the size of a pimple.
Rarely, an actinic keratosis may itch or be slightly tender.
In most cases, your doctor can confirm that you have sun-damaged skin
simply by examining the area. Commonly, a biopsy is done to rule out
skin cancer in a patch of actinic keratosis.
In a biopsy, a small piece of skin is removed and examined in a laboratory.
To help detect actinic keratoses and other skin abnormalities in their
earliest stages, examine your entire skin surface thoroughly every one
to two months. Check for patches of discolored or scaly skin, moles,
small pearly nodules, sores and other skin abnormalities on all parts
of your body, including your scalp and genitals. Use a mirror to
inspect harder-to-see areas of your back, shoulders, upper arms,
buttocks and the soles of your feet. People who have multiple actinic
keratoses should have their skin checked by a doctor once a year.
Sun damage may result in a permanent cosmetic concern.
Most treatments for an actinic keratosis can leave a pale
(de-pigmented) area of the skin surface.
More important than appearance is the long-term impact of sun damage
on your chances of developing skin cancer. The more unprotected sun
exposure you have during your lifetime, the greater your risk of skin
cancer, especially if you have a light complexion.
Whereas Curaderm Treatment cannot leave you a scar or pale on your
skin because their penatrates through your
skin deeply and finally kills cancer cells without harming human cells.
Curaderm cream 20g contains the active anticancer ingredent that
destroy sunspots cells because the high concentrations that assist BEC
to kill cancr cells.
For more information on this website feel free to click on this link
nomoreskincancer.info
Although most people love the warmth and light of the sun, too much
sun exposure can significantly damage human skin. The sun's heat dries
out areas of unprotected skin and to deplete the skin's supply of
natural lubricating oils. In addition, the sun's ultraviolet (UV)
radiation can cause burning and long-term changes in the skin's
structure.
Actinic keratosis is a skin condition characterized by rough, scaly
patches on the skin of our face, lips, ears, back of your hands,
forearms, scalp and neck. It's caused by frequent or intense exposure
to ultraviolet (UV) rays, typically from the sun. Many doctors
consider actinic keratosis to be precancerous because it may develop
into skin cancer. also known as solar keratoses, grow slowly and
usually cause no signs or symptoms other than patches or small spots
on the skin. These lesions take years to develop, usually first
appearing in older adults. Left untreated, about one in 10 cases of
actinic keratoses develop into squamous cell carcinoma, a serious form
of skin cancer. It does not also go away unless it is frozen,
(chemically)naturally treated with Curaderm, or removed by a doctor.
About one in every 400 patches of actinic keratosis eventually changes
into a squamous cell cancer of the skin.
The type of treatment that will work best for you depends on many
factors, including the number, size and location of
your actinic keratoses.
There is no immediate treatment, but the doctor regularly monitors the
area of abnormal skin to see if it develops an
appearance more worrisome for cancer.
Also, because an actinic keratosis is a sign that you are at increased
risk of skin cancer, your doctor will schedule regular follow-up skin
examinations to check periodically for new areas of abnormal skin.
Prevent reducing your risk of actinic keratosis by minimizing your sun
exposure and protecting your skin from UV rays.
SIGNS AND SYMPTONS
The signs and symptoms of actinic keratosis include:
Flat to slightly raised, scaly patches on the top layer of your skin
Lesions on your skin ranging in color from pink to red to brown,
orflesh-colored.
Patches or lesions caused by actinic keratosis usually are 1 inch or
less in diameter and primarily are found on areas exposed to the sun,
including your face, lips, ears, back of your hands, forearms, scalp
and neck.
There may be a single lesion or more. Later, lesions can develop a
hard, wart-like surface.
Symptoms may begin as soon as one hour after exposure and typically
reach their peak after one day.
Sun-damaged skin shows the following symptoms:
The skin appears dry, flaky and slightly more wrinkled than skin on
other parts of your body that have not been exposed to the sun. Dry
skin is also one of the most common causes of itching.
An actinic keratosis appears as a persistent patch of scaly (peeling)
skin that may have a jagged or even sharp surface
and that has a pink, yellow, red or brownish tint. At first, an
actinic keratosis is the size of a pimple.
Rarely, an actinic keratosis may itch or be slightly tender.
In most cases, your doctor can confirm that you have sun-damaged skin
simply by examining the area. Commonly, a biopsy is done to rule out
skin cancer in a patch of actinic keratosis.
In a biopsy, a small piece of skin is removed and examined in a laboratory.
To help detect actinic keratoses and other skin abnormalities in their
earliest stages, examine your entire skin surface thoroughly every one
to two months. Check for patches of discolored or scaly skin, moles,
small pearly nodules, sores and other skin abnormalities on all parts
of your body, including your scalp and genitals. Use a mirror to
inspect harder-to-see areas of your back, shoulders, upper arms,
buttocks and the soles of your feet. People who have multiple actinic
keratoses should have their skin checked by a doctor once a year.
Sun damage may result in a permanent cosmetic concern.
Most treatments for an actinic keratosis can leave a pale
(de-pigmented) area of the skin surface.
More important than appearance is the long-term impact of sun damage
on your chances of developing skin cancer. The more unprotected sun
exposure you have during your lifetime, the greater your risk of skin
cancer, especially if you have a light complexion.
Whereas Curaderm Treatment cannot leave you a scar or pale on your
skin because their penatrates through your
skin deeply and finally kills cancer cells without harming human cells.
Curaderm cream 20g contains the active anticancer ingredent that
destroy sunspots cells because the high concentrations that assist BEC
to kill cancr cells.
For more information on this website feel free to click on this link
nomoreskincancer.info
Mesothelioma Treatment
Mesothelioma Treatment :--
There are several methods of treatment for mesothelioma although none of these have a high success rate. In general, the chances of curing a mesothelioma patient depends on how much the cancer has developed and matured when treated. If tackled aggressively in its early stages, there is a good chance of survival. Due to the difficulty of diagnosing mesothelioma in its early stages, many mesothelioma treatments focus on improving the quality of life for patients.
Before a patient is treated upon, a doctor will decide what the best course of treatment is by considering the patient’s age, medical history, general well being and even weight. From here, the doctor will decide which of the three most common treatments are most suited to the patient’s condition. These treatments are surgery, chemotherapy and radiation therapy.
Surgery
Surgery comes in two different types. Aggressive surgery is treatment which aims to gain long term control against the cancer and palliative procedures which aims to just relieve the patient of symptoms.
Aggressive surgery involves removing the pleura, the lung, the diaphragm and the pericardium. This procedure is known as extra pleural pneumonectomy. The aim of this is to remove as much of the tumour as possible without harming the patient. However, this is a very risky type of surgery and the chances are high of patient fatality within a month. Due to this, only young, fit individuals are referred to this form of treatment. Palliative procedures involve removing just the pleura in order to control the symptoms of the cancer. This is performed when mesothelioma is in an advanced form and is impossible to cure.
Chemotherapy
This is the most commonly known cure of cancer. Chemotherapy uses drugs to treat mesothelioma although many of these drugs have a poor success rate on patients. Combinations of drugs are often used to improve their effect. Some of these combinations have proved to be effective. Chemotherapy of mesothelioma is being improved regularly as research labs and pharmaceutical companies are discovering new and more effective drugs.
Radiation Therapy
Radiation therapy uses radiation to kill the tumour which mesothelioma creates. However, this procedure is extremely difficult because of where the tumour grows. Due to the closeness of the tumour and many vital internal organs such as the heart and lungs, doctors have to be very careful as to the doses of radiation they use. Lower radiation doses can be used however this lowers its effectiveness.
Dual Therapy
This is often used and is just a combination of surgery, chemotherapy and radiation therapy combined. Surgery removes the majority of the tumour cells while chemotherapy and radiation therapy work on removing the remainder. This is an effective method and also lessens the symptoms of the cancer.
Before a patient is treated upon, a doctor will decide what the best course of treatment is by considering the patient’s age, medical history, general well being and even weight. From here, the doctor will decide which of the three most common treatments are most suited to the patient’s condition. These treatments are surgery, chemotherapy and radiation therapy.
Surgery
Surgery comes in two different types. Aggressive surgery is treatment which aims to gain long term control against the cancer and palliative procedures which aims to just relieve the patient of symptoms.
Aggressive surgery involves removing the pleura, the lung, the diaphragm and the pericardium. This procedure is known as extra pleural pneumonectomy. The aim of this is to remove as much of the tumour as possible without harming the patient. However, this is a very risky type of surgery and the chances are high of patient fatality within a month. Due to this, only young, fit individuals are referred to this form of treatment. Palliative procedures involve removing just the pleura in order to control the symptoms of the cancer. This is performed when mesothelioma is in an advanced form and is impossible to cure.
Chemotherapy
This is the most commonly known cure of cancer. Chemotherapy uses drugs to treat mesothelioma although many of these drugs have a poor success rate on patients. Combinations of drugs are often used to improve their effect. Some of these combinations have proved to be effective. Chemotherapy of mesothelioma is being improved regularly as research labs and pharmaceutical companies are discovering new and more effective drugs.
Radiation Therapy
Radiation therapy uses radiation to kill the tumour which mesothelioma creates. However, this procedure is extremely difficult because of where the tumour grows. Due to the closeness of the tumour and many vital internal organs such as the heart and lungs, doctors have to be very careful as to the doses of radiation they use. Lower radiation doses can be used however this lowers its effectiveness.
Dual Therapy
This is often used and is just a combination of surgery, chemotherapy and radiation therapy combined. Surgery removes the majority of the tumour cells while chemotherapy and radiation therapy work on removing the remainder. This is an effective method and also lessens the symptoms of the cancer.
Selenium May Help to Prevent Prostate Cancer
According to a federally sponsored study, published by a Stanford University urologist, men with abnormally low levels of Selenium in their blood are four to five times more likely to develop prostate cancer. Selenium is a trace element that is supplied in certain foods and supplements. The study suggests that making a point of eating Selenium-rich foods, such as Brazil nuts and tuna, or taking a Selenium supplement, may help reduce the risk of prostate cancer. Supplementation is especially useful for older men, as Selenium blood content decreases with patient age.
Although there are no solid statistics regarding exactly how much levels of Selenium in the blood are improved by supplementation, head researcher, James D. Brooks, MD is decidedly optimistic about the subject. He believes that supplementation could potentially be of great benefit in preventing prostate cancer, but goes on to comment that more precise research is needed in order to discern exact statistics on the extent of those benefits.
Overall, the researchers who conducted this study believe that they have made some very interesting discoveries, and that increasing levels of Selenium in the blood can significantly reduce a patient's risk of developing the most common form of cancer affecting men.
Prostata cancer - which treatment is the "correct one"?
The cancer illness can be attacked by many working methods. No other kind of cancer has so many possibilities. But we do not know to today yet, whether also only one of the possible types of treatment is value, the life of patient with Prostate cancer to extend. Naturally, results from it that for the patients in addition, for the treating physician for a certain working method to decide to have itself.
However often the expertise of the before and disadvantages is missing to the patient. The treating physician is however often technically embarrassed and partial. the Urologist's tell it for years after that a radical operation should be made and the only working method it is. However, we forgotten that there are no hard proofs for it. It's could be affected also by a financial motivation. (the interference costs between $20'000 and 30'000).
The radiologist recommends of course naturally the irradiation and that holistic oriented expert wants its "alternative" working methods applied. The patient is advised well to catch up a second or third specialized medical opinion before it decides for a working method. A working method for Prostate cancer is "Watchful Waiting".
Beside the treatment procedures of the "radical operation" or the irradiation treatment wins this methodology and meaning. Although neither for the operation nor for the irradiation treatment proofs for a concrete survival advantage for the patient is present, these procedures in highest place stand.
Still will "Watchful Waiting" to treat (without the cancer observe decisive therapy) reluctantly by many physicians in addition, patients concerned by around perhaps only later with coming problems. "Watchful Waiting" is one of expert recognized treatment strategy for many patients.
For example, we know that in the USA only 1 patient of eight patients at the consequences of the illnesses will die. The problem is, we can not forecast, which of the eight patients with died present possibilities of treatment has the largest chances. Even if we knew, there is no warranty the fact that the present possibilities of treatment this man to heal or would extend its life. This points us out that we are in a problem of the ways to the treatment.
Conclusion: Let's you guide from your own feeling. Reading all over this sickness and let you know a second opinion of a doctor of your confidence.
However often the expertise of the before and disadvantages is missing to the patient. The treating physician is however often technically embarrassed and partial. the Urologist's tell it for years after that a radical operation should be made and the only working method it is. However, we forgotten that there are no hard proofs for it. It's could be affected also by a financial motivation. (the interference costs between $20'000 and 30'000).
The radiologist recommends of course naturally the irradiation and that holistic oriented expert wants its "alternative" working methods applied. The patient is advised well to catch up a second or third specialized medical opinion before it decides for a working method. A working method for Prostate cancer is "Watchful Waiting".
Beside the treatment procedures of the "radical operation" or the irradiation treatment wins this methodology and meaning. Although neither for the operation nor for the irradiation treatment proofs for a concrete survival advantage for the patient is present, these procedures in highest place stand.
Still will "Watchful Waiting" to treat (without the cancer observe decisive therapy) reluctantly by many physicians in addition, patients concerned by around perhaps only later with coming problems. "Watchful Waiting" is one of expert recognized treatment strategy for many patients.
For example, we know that in the USA only 1 patient of eight patients at the consequences of the illnesses will die. The problem is, we can not forecast, which of the eight patients with died present possibilities of treatment has the largest chances. Even if we knew, there is no warranty the fact that the present possibilities of treatment this man to heal or would extend its life. This points us out that we are in a problem of the ways to the treatment.
Conclusion: Let's you guide from your own feeling. Reading all over this sickness and let you know a second opinion of a doctor of your confidence.
What are the side effects of treatment?
Brain tumour treatment may leave many side effects which may become less with time. Since craniotomy is a major procedure, there may be side effects like coordination difficulties, problems in comprehension and memory and personality changes. This is caused due to some damage to normal tissues surrounding the tumour.
Post surgery complications include cerebral oedema and seizures. Other side effects depend upon the location and extent of the tumour. In case there is no neurological deficit before operation, post-operatively also there should be no defect. In a large majority of cases even pre-operative deficit improves. However if tumour removed is delayed or the deficit is already severe this may not recover fully.
Side effects of radiation and chemotherapy include nausea, vomiting, weight loss, loss of hair and allergic reactions of the skin. Children who have had radiation therapy for brain tumours may have learning difficulties and visual problems. There may also be growth deficiencies in some children due to hormonal imbalance.
Some anticancer drugs may cause infertility. Women on anticancer drugs may experience menopausal symptoms like hot flashes and vaginal dryness. Some drugs may also cause kidney damage. A common condition is the formation of blood clots, usually in the leg, after the drug treatment.
Post surgery complications include cerebral oedema and seizures. Other side effects depend upon the location and extent of the tumour. In case there is no neurological deficit before operation, post-operatively also there should be no defect. In a large majority of cases even pre-operative deficit improves. However if tumour removed is delayed or the deficit is already severe this may not recover fully.
Side effects of radiation and chemotherapy include nausea, vomiting, weight loss, loss of hair and allergic reactions of the skin. Children who have had radiation therapy for brain tumours may have learning difficulties and visual problems. There may also be growth deficiencies in some children due to hormonal imbalance.
Some anticancer drugs may cause infertility. Women on anticancer drugs may experience menopausal symptoms like hot flashes and vaginal dryness. Some drugs may also cause kidney damage. A common condition is the formation of blood clots, usually in the leg, after the drug treatment.
What is the treatment?
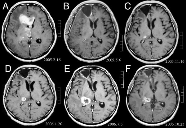
Depending on the type of tumour, its location, and the extent of its spread, the treatment may be surgery, chemotherapy and/or radiation therapy. These procedures may be used exclusively or in combination. Before treatment begins, patients are usually given steroid treatment to reduce brain swelling. They may also be given medication to keep the seizures (epileptic fits) under control.
Surgery - The most common form of treatment of brain tumours is removal of the cancerous mass. The neurosurgeon makes a hole in the skull and reaches the site of the tumour through that. The procedure is called craniotomy. As far as possible, the entire tumour is removed. This is usually possible to achieve in case of benign tumours like meningiomas, neuro fibromas, etc. Gliomas on the other hand, cannot be excised completely as they do not have clearly defined limits. However, the doctor is careful not to damage any vital tissues of the brain, and thus in cases where the whole tumour cannot be removed, partial removal is done. This helps to relieve the pressure within the skull and leaves a smaller portion of the tumour to be treated through radiation and/or chemotherapy.
Chemotherapy – it is the destruction of cancerous cells with the help of powerful drugs. Drugs are usually given orally or as injections into the vein.
Radiation therapy – in this high power rays are used to kill cancerous cells and prevent them from proliferating. Radiotherapy is given for a short period of time followed by a break. The period of therapy depends on the age of the patient, the site of the tumour and its size. The radiation is given with pin point accuracy, so that the surrounding healthy brain tissue is protected
Surgery - The most common form of treatment of brain tumours is removal of the cancerous mass. The neurosurgeon makes a hole in the skull and reaches the site of the tumour through that. The procedure is called craniotomy. As far as possible, the entire tumour is removed. This is usually possible to achieve in case of benign tumours like meningiomas, neuro fibromas, etc. Gliomas on the other hand, cannot be excised completely as they do not have clearly defined limits. However, the doctor is careful not to damage any vital tissues of the brain, and thus in cases where the whole tumour cannot be removed, partial removal is done. This helps to relieve the pressure within the skull and leaves a smaller portion of the tumour to be treated through radiation and/or chemotherapy.
Chemotherapy – it is the destruction of cancerous cells with the help of powerful drugs. Drugs are usually given orally or as injections into the vein.
Radiation therapy – in this high power rays are used to kill cancerous cells and prevent them from proliferating. Radiotherapy is given for a short period of time followed by a break. The period of therapy depends on the age of the patient, the site of the tumour and its size. The radiation is given with pin point accuracy, so that the surrounding healthy brain tissue is protected
How is it diagnosed?
The doctor first conducts a thorough physical examination of the patient and takes his medical and family history. The physical examination includes a detailed neurological examination. The latter consists of examinations for alertness, muscle strength, coordination, reflexes and response to pain. Any swelling of the eyes and visual disturbances is also ascertained.
The doctor may ask for tests like CT or MRI scan to study the tissues of the brain. These procedures help to identify any changes in the brain tissues, and outline any abnormal growth. Other tests that may be requested by the doctor are EEG, angiogram and a skull X-ray.
When should the doctor be consulted urgently?
Persistent or increasing frequency of headache specially if it is associated with vomiting, blurring or double vision, weakness of any part of the body, epileptic fits, difficulty in speaking, instability of gait. Change of behaviour, memory impairment with or without the above symptoms should also prompt expert consultation.
The doctor may ask for tests like CT or MRI scan to study the tissues of the brain. These procedures help to identify any changes in the brain tissues, and outline any abnormal growth. Other tests that may be requested by the doctor are EEG, angiogram and a skull X-ray.
When should the doctor be consulted urgently?
Persistent or increasing frequency of headache specially if it is associated with vomiting, blurring or double vision, weakness of any part of the body, epileptic fits, difficulty in speaking, instability of gait. Change of behaviour, memory impairment with or without the above symptoms should also prompt expert consultation.
What are the symptoms of tumours?
Symptoms of brain tumours are usually non-specific in the beginning. They also depend on the size and location of the tumour in the brain. The symptoms of a brain tumour may be varied since they may affect different functioning capacities of the brain. For example, a tumour that causes swelling of the brain may exhibit different symptoms than that which compresses the tissues of the brain.
Some of the common symptoms indicating a tumour in the brain are:
Frequent headaches that vary in intensity and time of the day. These headaches are usually intense in the mornings and ease out during the day.
Nausea or vomiting
Epileptic seizures or convulsions
Visual disturbances due to compression of the optic nerve or oedema of the optic disc (papilloedema)
Changes in memory functions
Changes in speech
Drowsiness and bouts of incoherence
Partial or local paralysis. Neurological deficits like weakness or paralysis of some parts of the body, loss of sensation, unsteadiness of gait (ataxia)
Some of the common symptoms indicating a tumour in the brain are:
Frequent headaches that vary in intensity and time of the day. These headaches are usually intense in the mornings and ease out during the day.
Nausea or vomiting
Epileptic seizures or convulsions
Visual disturbances due to compression of the optic nerve or oedema of the optic disc (papilloedema)
Changes in memory functions
Changes in speech
Drowsiness and bouts of incoherence
Partial or local paralysis. Neurological deficits like weakness or paralysis of some parts of the body, loss of sensation, unsteadiness of gait (ataxia)
What are the causes?
The exact cause of tumours is not known. However, there is a higher risk of tumours in:
Children and elderly
People with certain rare congenital abnormalities like Li-Fraumeni syndrome, tuberous sclerosis etc.
People with disorders of the immune system or auto-immune disorders like AIDS
People who are exposed to X-rays of the head
People who work in certain industries like oil refining, drug and rubber manufacturing.
Children and elderly
People with certain rare congenital abnormalities like Li-Fraumeni syndrome, tuberous sclerosis etc.
People with disorders of the immune system or auto-immune disorders like AIDS
People who are exposed to X-rays of the head
People who work in certain industries like oil refining, drug and rubber manufacturing.
What are the various kinds of tumours?
Brain tumours are basically of two kinds – those that originate from the layers covering the brain (meninges) and those that originate from the brain cells. The former are called meningiomas. They are almost always non-cancerous and are easy to remove surgically. The tumours arising from the supportive tissues of the brain are called gliomas. They are more common in adults and are more dangerous, since they are usually malignant and can often not be completely removed.
The most commonly occurring tumours in adults are gliomas, while in children, tumours usually arise near the brain stem (medulloblastoma).
What is brain tumour?
A brain tumour, like a tumour anywhere else in the body, is a result of an abnormal proliferation of cells in the brain. A primary brain tumour is one where the tumour originates from the brain cells. Secondary brain tumours are cancers originating elsewhere in the body and spreading to the brain through the blood stream. It may be mentioned that some chronic infections like tuberculosis and fungal infections often produce a tumour like moss in the brain which may mimic a cancerous lesion. A brain tumour may directly destroy brain cells or it may cause brain dysfunction by various other means.
The skull is a hard bony structure and thus provides only limited space to the structures within. Since the brain does not have any space to expand, a space-occupying tumour may be especially dangerous. Brain tumours can cause indirect damage by compressing brain tissue, inflammation of the brain (cerebral oedema) and increasing the pressure within the brain (intracranial pressure) by interfering with the circulation of brain fluid (cerebrospinal fluid or CSF).
Though most tumours are classified as 'malignant' or 'benign', brain tumours are usually classified as "high grade" or rapidly growing and "low grade" or slow growing. This is because even non-cancerous brain tumours may be life threatening since they do not have space to grow and thus endanger other parts of the brain.
The skull is a hard bony structure and thus provides only limited space to the structures within. Since the brain does not have any space to expand, a space-occupying tumour may be especially dangerous. Brain tumours can cause indirect damage by compressing brain tissue, inflammation of the brain (cerebral oedema) and increasing the pressure within the brain (intracranial pressure) by interfering with the circulation of brain fluid (cerebrospinal fluid or CSF).
Though most tumours are classified as 'malignant' or 'benign', brain tumours are usually classified as "high grade" or rapidly growing and "low grade" or slow growing. This is because even non-cancerous brain tumours may be life threatening since they do not have space to grow and thus endanger other parts of the brain.
Brain Tumor Signs and Symptoms
The symptoms of brain tumors depend on their size and location in the brain. Symptoms often are caused by damage to vital tissue and pressure on the brain as the tumor grows within the limited space in the skull. They may be caused by swelling and a buildup of fluid around the tumor, a condition called edema. Symptoms also may be due to hydrocephalus, which occurs when the tumor blocks the flow of cerebrospinal fluid and causes a build-up in the ventricles.
If a brain tumor grows very slowly, its symptoms may not appear for some time. The most frequent symptoms of brain tumors include:
• Headaches that tend to be worse in the morning and ease during the day
• Seizures or convulsions
• Nausea or vomiting
• Weakness or loss of feeling in the arms or legs
• Stumbling or lack of coordination in walking
• Abnormal eye movements or changes in vision
• Drowsiness
• Changes in personality or memory
• Changes in speech
These symptoms may be caused by brain tumors or by other problems. Diagnostic tests can be performed to determine if the cause of your symptoms is a brain tumor and if it is a primary or secondary one.
Breast Cancer...
Initially, breast cancer may not cause any symptoms. A lump may be too small for you to feel or to cause any unusual changes you can notice on your own. Often, an abnormal area turns up on a screening mammogram (x-ray of the breast), which leads to further testing.
In some cases, however, the first sign of breast cancer is a new lump or mass in the breast that you or your doctor can feel. A lump that is painless, hard, and has uneven edges is more likely to be cancer. But sometimes cancers can be tender, soft, and rounded. So it's important to have anything unusual checked by your doctor.
According to the American Cancer Society, any of the following unusual changes in the breast can be a symptom of breast cancer:
swelling of all or part of the breast
skin irritation or dimpling
breast pain
nipple pain or the nipple turning inward
redness, scaliness, or thickening of the nipple or breast skin
a nipple discharge other than breast milk
a lump in the underarm area
These changes also can be signs of less serious conditions that are not cancerous, such as an infection or a cyst. It’s important to get any breast changes checked out promptly by a doctor.
In some cases, however, the first sign of breast cancer is a new lump or mass in the breast that you or your doctor can feel. A lump that is painless, hard, and has uneven edges is more likely to be cancer. But sometimes cancers can be tender, soft, and rounded. So it's important to have anything unusual checked by your doctor.
According to the American Cancer Society, any of the following unusual changes in the breast can be a symptom of breast cancer:
swelling of all or part of the breast
skin irritation or dimpling
breast pain
nipple pain or the nipple turning inward
redness, scaliness, or thickening of the nipple or breast skin
a nipple discharge other than breast milk
a lump in the underarm area
These changes also can be signs of less serious conditions that are not cancerous, such as an infection or a cyst. It’s important to get any breast changes checked out promptly by a doctor.
Treatment and Side Effects of Breast Cancer
Planning Your Treatment
What types of treatment are available, the most likely sequence of treatments, treatment options by cancer stage, and fitting treatment into your schedule.
Getting a Second Opinion
Reasons for getting a second opinion about your treatment plan, how to go about getting one, and what to do once you’ve got it.
Surgery
Breast-conserving surgery (lumpectomy), mastectomy, and lymph node dissection, and what to expect from each. Also included: Prophylactic surgery and breast reconstruction.
Chemotherapy
How chemotherapy works, who should get it, different types and combinations, and side effects and how to manage them.
Radiation Therapy
How radiation therapy works, who it's for, advantages, side effects, and what to expect when you get it.
Hormonal Therapy
The link between hormones and breast cancer and how different groups of drugs — including ERDs, SERMs, and aromatase inhibitors — can affect that link. Also covered: Side effects of hormonal therapies
Targeted Therapies
How they work, who should get them, how they're given, side effects, and major studies.
Complementary & Holistic Medicine
How complementary medicine techniques such as acupuncture, meditation, and yoga could be a helpful addition to your regular medical treatment. Includes research on complementary techniques and ways to find qualified practitioners.
Drugs for Treatment and Risk Reduction
A reference list of drugs used to treat and reduce the risk of breast cancer, including how they work, to whom they are typically given, and side effects.
What types of treatment are available, the most likely sequence of treatments, treatment options by cancer stage, and fitting treatment into your schedule.
Getting a Second Opinion
Reasons for getting a second opinion about your treatment plan, how to go about getting one, and what to do once you’ve got it.
Surgery
Breast-conserving surgery (lumpectomy), mastectomy, and lymph node dissection, and what to expect from each. Also included: Prophylactic surgery and breast reconstruction.
Chemotherapy
How chemotherapy works, who should get it, different types and combinations, and side effects and how to manage them.
Radiation Therapy
How radiation therapy works, who it's for, advantages, side effects, and what to expect when you get it.
Hormonal Therapy
The link between hormones and breast cancer and how different groups of drugs — including ERDs, SERMs, and aromatase inhibitors — can affect that link. Also covered: Side effects of hormonal therapies
Targeted Therapies
How they work, who should get them, how they're given, side effects, and major studies.
Complementary & Holistic Medicine
How complementary medicine techniques such as acupuncture, meditation, and yoga could be a helpful addition to your regular medical treatment. Includes research on complementary techniques and ways to find qualified practitioners.
Drugs for Treatment and Risk Reduction
A reference list of drugs used to treat and reduce the risk of breast cancer, including how they work, to whom they are typically given, and side effects.
Definition of breast cancer:
Cancer that forms in tissues of the breast, usually the ducts (tubes that carry milk to the nipple) and lobules (glands that make milk). It occurs in both men and women, although male breast cancer is rare.
What You Need to Know about a Mesothelioma Law Suit, Mesothelioma Law and a Mesothelioma Law Firm
There is some important information you should be aware of if you are considering pursuing a Mesothelioma Law Suit. Prior to pursuing a Mesothelioma Law Suit you should seek advice from a reputable Mesothelioma Law Firm and gain an understanding of Mesothelioma Law.
A Mesothelioma Law suit can be costly, but it can also provide you with adequate compensation that will help cover your legal, medical and ongoing expenses, related to your Mesothelioma Cancer.
Previously, there have been cases in which the Mesothelioma Cancer sufferers have received thousands of dollars in compensation for their diagnosis of Mesothelioma Cancer, due to exposure to an Asbestos related substance.
Currently, Mesothelioma Law is favorable towards Mesothelioma Cancer sufferers, who have been exposed to an Asbestos related substance through their work environment and companies are required to compensate their present, or previous employees for non-disclosure of the risks involved with handling an Asbestos related substance.
Mesothelioma Law works on the premise that this exposure to an asbestos related substance without prior knowledge has lead to the injury, or sometimes death of the Mesothelioma sufferer.
In almost all cases, whether indicated as injury, or death, the sufferer of Mesothelioma Cancer has had their life span considerable shortened, due to this exposure to an asbestos related substance.
Due to the legal processes of conducting a Mesothelioma Law suit, anyone who has been diagnosed with Mesothelioma Cancer and suspect, or know, that they were exposed to an asbestos related substance in the past, during their working life, should seek legal advice immediately.
Beginning your Mesothelioma Law suit early will ensure that you acquire adequate compensation in time to help with your medical expenses and ongoing support and treatment.
In order to begin a Mesothelioma Law suit you will need to find an experienced Mesothelioma Attorney, or Lawyer, that can usually be found at a reputable Mesothelioma Law Firm.
It is important that you disclose all information surrounding your Mesothelioma Cancer, including your diagnosis and prognosis, to your Mesothelioma Attorney, or Lawyer, as this will help them to form a solid Mesothelioma Law suit for your case.
You should also try to provide your Mesothelioma Attorney, or Lawyer with details pertaining to the period in which your exposure occurred, who you where working for at the time and any details regarding whether you had prior knowledge of your exposure.
All information surrounding your Mesothelioma Cancer is important and will ensure that your Mesothelioma Attorney, or Lawyer, will be successful in your Mesothelioma Law suit. So, if you, or someone you know, have been diagnosed with Mesothelioma Cancer, seek appropriate legal advice.
A Mesothelioma Law suit can be costly, but it can also provide you with adequate compensation that will help cover your legal, medical and ongoing expenses, related to your Mesothelioma Cancer.
Previously, there have been cases in which the Mesothelioma Cancer sufferers have received thousands of dollars in compensation for their diagnosis of Mesothelioma Cancer, due to exposure to an Asbestos related substance.
Currently, Mesothelioma Law is favorable towards Mesothelioma Cancer sufferers, who have been exposed to an Asbestos related substance through their work environment and companies are required to compensate their present, or previous employees for non-disclosure of the risks involved with handling an Asbestos related substance.
Mesothelioma Law works on the premise that this exposure to an asbestos related substance without prior knowledge has lead to the injury, or sometimes death of the Mesothelioma sufferer.
In almost all cases, whether indicated as injury, or death, the sufferer of Mesothelioma Cancer has had their life span considerable shortened, due to this exposure to an asbestos related substance.
Due to the legal processes of conducting a Mesothelioma Law suit, anyone who has been diagnosed with Mesothelioma Cancer and suspect, or know, that they were exposed to an asbestos related substance in the past, during their working life, should seek legal advice immediately.
Beginning your Mesothelioma Law suit early will ensure that you acquire adequate compensation in time to help with your medical expenses and ongoing support and treatment.
In order to begin a Mesothelioma Law suit you will need to find an experienced Mesothelioma Attorney, or Lawyer, that can usually be found at a reputable Mesothelioma Law Firm.
It is important that you disclose all information surrounding your Mesothelioma Cancer, including your diagnosis and prognosis, to your Mesothelioma Attorney, or Lawyer, as this will help them to form a solid Mesothelioma Law suit for your case.
You should also try to provide your Mesothelioma Attorney, or Lawyer with details pertaining to the period in which your exposure occurred, who you where working for at the time and any details regarding whether you had prior knowledge of your exposure.
All information surrounding your Mesothelioma Cancer is important and will ensure that your Mesothelioma Attorney, or Lawyer, will be successful in your Mesothelioma Law suit. So, if you, or someone you know, have been diagnosed with Mesothelioma Cancer, seek appropriate legal advice.
What treatments are currently being used for victims of asbestos diseases?
Mesothelioma is touted as deadly because most of the cases are diagnosed when in advanced stage and doctors have little solace to offer by then. Still doctors try to do their best to relieve the patients from severe pain of mesothelioma using advanced treatments.
Surgery
Before considering surgery as one of the propositions for the treatment of malignant cancer, the health of the patient needs to be carefully evaluated. The tests are performed to check whether the cancer has spread to other parts of the body or not. Also evaluation of the patient’s lung and heart functions is done. In case of the former, a mesothelioma surgery cannot be performed. Both the heart and lungs need to be properly functioning state for surgery to take place.
Surgery is of two types: aggressive surgery (long-term control) and palliative procedures (relief of symptoms). Let’s define each of them separately.
Aggressive surgery
Aggressive surgery involves removal of the lung, the pleura, the diaphragm and the pericardium by a procedure, which is known as extra pleural pneumonectomy. The intention to follow this method is to physically remove as much of the tumor as possible. It is in fact adopting a bold method to do away with the disease—hence the name is “Aggressive surgery”.
This surgery is extremely complicated and involves high risk. This is because of the fact that there are possible chances of death due to the same within a month. Extra pleural pneumonectomy is therefore normally performed on younger patients who are in good health and are in a position to tolerate the surgery.
Palliative Procedures
Palliative procedures are normally performed when the cancer is in its advanced form. These procedures are performed to control the symptoms of mesothelioma rather than cure them. Pleurectomy (also decortications) is the process to surgically remove the pleura. This method reduces the pain caused by the cancerous mass and may also prevent the recurrence of pleural effusion (fluid collection which causes tremendous breathlessness). For patients suffering from peritoneal mesothelioma, complete surgical removal of the entire tumor is not entirely possible. In this case the surgery aims to extenuate the symptoms, such as ascites,
Chemotherapy
Chemotherapy is the method in which drugs are used to treat mesothelioma. It has been observed that this method is partially succesfull. This is because the patient recovers partially after using drugs or combination of drugs (In fact the efficacy of this method increases, if combination of drugs are used at the same time.) Some of these combinations have proved successful and new drugs are being developed for the treatment of this cancer.
Radiation Therapy
In this method the tumor is killed by using radiation doses. However, with the help of this procedure, killing the tumor cells is quite difficult. This is because of the fact that it is difficult to specifically locate the malignant cells. Also the heart, lungs and other organs may surround the same, and they are at the risk of getting damaged by the radiation dosage. However lower doses of radiation can be used to reduce the disease to a certain extent.
Dual Therapy
Both chemotherapy and radiation are used in conjunction after the performance of the surgery. They both help in killing any remaining tumor cells that were not removed by surgery and may also help in relieving symptoms of the disease like chest pain.
The treatment methods, which are described above, are direct ways of treating a person suffering from mesothelioma. However doctors and researchers are always on the lookout for new ways to treat mesothelioma. The necessity for the evolution of alternative ways to treat patients suffering from mesothelioma arises because of the complex nature of different types of cancers, and because patients respond differently to various types of medical care.
Some of them are as follows:
Immunoagumentive Therapy (IAT)
The goal of IAT is to strengthen the body's own immune system. The same is done by balancing four different proteins found in the blood.
Intraoperative Photodynamic Therapy (IPT)
This method of treatment is being used to cure early stages of mesothelioma in the chest. IPT uses special drugs and light to kill cancer cells during surgery. A drug that makes tumor cells more sensitive to light is injected into a vein several days before surgery. During surgery, a special light is used to locate the cancer.
Gene Therapy
This is a unique method whereby the researchers either try to improve the body's natural ability to fight against the diseases or alternatively make the cancer cells more sensitive to other kinds of therapy.
Surgery
Before considering surgery as one of the propositions for the treatment of malignant cancer, the health of the patient needs to be carefully evaluated. The tests are performed to check whether the cancer has spread to other parts of the body or not. Also evaluation of the patient’s lung and heart functions is done. In case of the former, a mesothelioma surgery cannot be performed. Both the heart and lungs need to be properly functioning state for surgery to take place.
Surgery is of two types: aggressive surgery (long-term control) and palliative procedures (relief of symptoms). Let’s define each of them separately.
Aggressive surgery
Aggressive surgery involves removal of the lung, the pleura, the diaphragm and the pericardium by a procedure, which is known as extra pleural pneumonectomy. The intention to follow this method is to physically remove as much of the tumor as possible. It is in fact adopting a bold method to do away with the disease—hence the name is “Aggressive surgery”.
This surgery is extremely complicated and involves high risk. This is because of the fact that there are possible chances of death due to the same within a month. Extra pleural pneumonectomy is therefore normally performed on younger patients who are in good health and are in a position to tolerate the surgery.
Palliative Procedures
Palliative procedures are normally performed when the cancer is in its advanced form. These procedures are performed to control the symptoms of mesothelioma rather than cure them. Pleurectomy (also decortications) is the process to surgically remove the pleura. This method reduces the pain caused by the cancerous mass and may also prevent the recurrence of pleural effusion (fluid collection which causes tremendous breathlessness). For patients suffering from peritoneal mesothelioma, complete surgical removal of the entire tumor is not entirely possible. In this case the surgery aims to extenuate the symptoms, such as ascites,
Chemotherapy
Chemotherapy is the method in which drugs are used to treat mesothelioma. It has been observed that this method is partially succesfull. This is because the patient recovers partially after using drugs or combination of drugs (In fact the efficacy of this method increases, if combination of drugs are used at the same time.) Some of these combinations have proved successful and new drugs are being developed for the treatment of this cancer.
Radiation Therapy
In this method the tumor is killed by using radiation doses. However, with the help of this procedure, killing the tumor cells is quite difficult. This is because of the fact that it is difficult to specifically locate the malignant cells. Also the heart, lungs and other organs may surround the same, and they are at the risk of getting damaged by the radiation dosage. However lower doses of radiation can be used to reduce the disease to a certain extent.
Dual Therapy
Both chemotherapy and radiation are used in conjunction after the performance of the surgery. They both help in killing any remaining tumor cells that were not removed by surgery and may also help in relieving symptoms of the disease like chest pain.
The treatment methods, which are described above, are direct ways of treating a person suffering from mesothelioma. However doctors and researchers are always on the lookout for new ways to treat mesothelioma. The necessity for the evolution of alternative ways to treat patients suffering from mesothelioma arises because of the complex nature of different types of cancers, and because patients respond differently to various types of medical care.
Some of them are as follows:
Immunoagumentive Therapy (IAT)
The goal of IAT is to strengthen the body's own immune system. The same is done by balancing four different proteins found in the blood.
Intraoperative Photodynamic Therapy (IPT)
This method of treatment is being used to cure early stages of mesothelioma in the chest. IPT uses special drugs and light to kill cancer cells during surgery. A drug that makes tumor cells more sensitive to light is injected into a vein several days before surgery. During surgery, a special light is used to locate the cancer.
Gene Therapy
This is a unique method whereby the researchers either try to improve the body's natural ability to fight against the diseases or alternatively make the cancer cells more sensitive to other kinds of therapy.
Subscribe to:
Comments (Atom)










